4.9 / 5
Valutazione 4.9 su 5

Revasolv™ Health Science

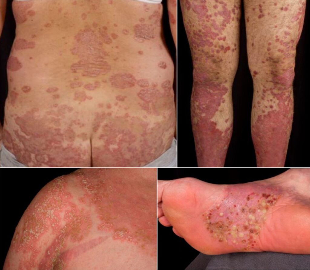
La psoriasi non si ferma: inizia con un rossore, poi la pelle brucia, si spacca e diventa parte della tua vita!

Ogni giorno l’infiammazione avanza: la pelle si arrossa, si irrita, e si rigenera troppo velocemente, creando placche spesse, secche e dolorose.
⚠️ Se non intervieni, la psoriasi può estendersi, diventare cronica e riaccendersi di continuo!

Oggi una formula naturale innovativa, clinicamente testata, elimina subito il rossore, ripara la pelle danneggiata e ristabilizza definitivamente l’equilibrio cutaneo in poche settimane.

Una malattia che divora la pelle, il corpo e la fiducia

Oltre 140 milioni di europei convivono ogni giorno con la psoriasi, una malattia infiammatoria cronica che non colpisce solo la pelle, ma l’intero equilibrio dell’organismo.

Secondo l’EADV e l’OMS, fino al 30% dei pazienti sviluppa anche artrite psoriasica, una forma infiammatoria che colpisce le articolazioni e può causare rigidità permanenti.

👉 Nel tempo, la psoriasi può favorire anche problemi cardiovascolari, disturbi metabolici e ansia o depressione

📉 Le ricerche mostrano che, in molti casi, la degenerazione cutanea può diventare irreversibile già dopo 3–6 mesi di infiammazione costante.

💡 Anche chi convive con la psoriasi da anni può bloccare l’infiammazione e calmare la pelle con una formula naturale testata, capace di ristabilire l’equilibrio cutaneo in 30 giorni.

(Fonti: EADV, Eurostat, OMS – Dati su prevalenza e impatto clinico della psoriasi, 2013–2018)

🩺 Gli Studi del Prof. Schneider e la Scoperta che Ha Cambiato la Ricerca Dermatologica

Prof. Markus Schneider, specialista in dermatologia clinica e immunologia cutanea, guida il gruppo di ricerca europeo che ha sviluppato PSORISOLV®

“La psoriasi è una malattia infiammatoria cronica in cui il sistema immunitario accelera in modo anomalo il processo di rigenerazione della pelle, passando dal rossore alla formazione di placche spesse, pruriginose e dolorose.

Quando l’infiammazione resta attiva, la pelle si rinnova troppo in fretta e si irrita, creando un ciclo continuo di riacutizzazioni.

Le comuni creme cortisoniche o lenitive danno un sollievo momentaneo, non agiscono alla radice del processo infiammatorio.

Per questo, nel 2016, insieme a un’équipe di ricercatori europei, abbiamo avviato una ricerca mirata a bloccare la risposta immunitaria e ripristinare l’equilibrio della pelle.

Dopo anni di test clinici, è nata PSORISOLV®, la prima formula naturale che interrompe il ciclo infiammatorio, normalizza la rigenerazione cellulare e favorisce la ricostruzione dei tessuti cutanei danneggiati.

I risultati sono straordinari: l’89% dei pazienti ha riportato l’eliminazione di rossore, prurito e placche nei primi 30 giorni.

La scoperta scientifica che dona sollievo e stabilità alla tua pelle

PSORISOLV® – La 1ª crema naturale, clinicamente testata, che elimina la psoriasi alla radice e previene le ricadute

Dopo anni di ricerca, il Prof. Markus Schneider e la sua équipe internazionale di dermatologi e ricercatori — con specialisti provenienti da Germania, Italia, Svizzera e Svezia — hanno compiuto una svolta storica nella ricerca naturale per la salute cutanea.

Dallo studio avviato nel 2016 è nata PSORISOLV®, una formula innovativa capace di bloccare l’infiammazione, ristabilire l’equilibrio cellulare e proteggere la pelle dalle recidive, in modo sicuro, naturale e clinicamente testato.

La ricerca alla base di PSORISOLV® ha dimostrato risultati straordinari non solo nei casi di psoriasi, ma anche su eczemi e dermatiti croniche, grazie alla sua azione mirata sull’infiammazione e sulla rigenerazione cellulare.

🧬 COME AGISCE PSORISOLV®

CURCUMA

Agisce come un vero “interruttore biologico”: blocca l’infiammazione alla fonte e riduce rossore e prurito già dalle prime applicazioni.
Ripristina il corretto ritmo di rigenerazione cellulare, impedendo la formazione di nuove placche.

ALOE VERA

Lenisce immediatamente la pelle, riducendo bruciore e irritazione.
Stimola la rigenerazione dei tessuti cutanei danneggiati e ricrea morbidezza e comfort, anche sulle aree più colpite.

OLIO DI CANAPA

Ricco di Omega-3, Omega-6 e vitamina E, nutre in profondità e ristabilisce la barriera protettiva della pelle, prevenendo secchezza e nuove ricadute.
Favorisce un equilibrio cutaneo stabile e duraturo nel tempo.

Questi tre principi attivi lavorano in sinergia per spegnere l’infiammazione, rigenerare la pelle danneggiata e ristabilire definitivamente l’equilibrio cutaneo, eliminando rossore, prurito e placche — senza ricadute.

📈 Studi clinici mostrano che oltre l’87% dei pazienti ha riportato una pelle visibilmente più pulita e stabile già entro 30 giorni, con risultati che si mantengono nel tempo, senza nuove riaccensioni.

🩺 RISULTATI VISIBILI E DIMOSTRATI CLINICAMENTE

“Avevo smesso di credere che le mie mani potessero tornare come prima.”
Maria R., 62 anni – Bologna

🗓 Psoriasi alle mani completamente scomparsa in 30 giorni

“Per anni ho convissuto con la psoriasi alle mani.
All’inizio erano solo piccole macchie rosse, poi la pelle ha iniziato a screpolarsi, bruciare e spaccarsi fino a sanguinare.
Ogni gesto quotidiano — lavarmi, cucinare, lavorare — era diventato un dolore costante.

Ho provato pomate e cortisonici, ma appena smettevo, tutto tornava peggio di prima.
Mi sentivo impotente e senza speranza, prigioniera di un problema che non voleva più andarsene.

Poi ho scoperto PSORISOLV®, una formula naturale e clinicamente testata.

➡️ Il bruciore si è attenuato immediatamente.
➡️ Dopo due settimane, la pelle è diventata più morbida e liscia.
➡️ Dopo un mese, le placche erano completamente scomparse.

Da allora sono passati otto mesi e non ho più avuto alcuna ricaduta.

Le mie mani sono tornate sane, morbide e libere dal dolore.
PSORISOLV® mi ha ridato libertà, fiducia e serenità.

🗓 Psoriasi grave al braccio eliminata e pelle stabile dopo 30 giorni

“Per anni ho nascosto il mio braccio sotto le maniche.”
Marco L., 47 anni – Firenze

“Il braccio era pieno di placche rosse e secche che tornavano ogni volta, soprattutto d’inverno.
Il prurito era insopportabile e la pelle si spaccava a ogni movimento.

Con PSORISOLV® la pelle si è calmata in pochi giorni e le placche sono scomparse in meno di un mese.
Da oltre un anno, nessuna ricaduta.
La mia pelle è pulita, liscia e libera.

🗓 Psoriasi su petto e seno risolta in 2 settimane, pelle liscia e stabile

“Ogni volta spariva… e poi tornava peggio di prima.”
Elena S., 38 anni – Milano

“Le chiazze rosse sul petto e sul seno mi facevano sentire a disagio con me stessa.
Sparivano per poco e poi tornavano più estese e dolorose, rendendo impossibile anche indossare certi vestiti.

Con PSORISOLV®, in 2 settimane la pelle è tornata uniforme e morbida, e da oltre 10 mesi non è più comparso nulla.
Oggi posso vestirmi liberamente e sentirmi di nuovo a mio agio nel mio corpo.

🧬AGISCI ORA, PRIMA CHE L’INFIAMMAZIONE DIVENTI CRONICA

Ignorare la psoriasi significa permettere all’infiammazione di estendersi e danneggiare la pelle in modo permanente, fino a causare placche spesse, dolore, bruciore e cicatrici visibili.
Molti si affidano a cortisone e creme lenitive, ma appena si sospendono, il problema ritorna più forte di prima.

🔥 PSORISOLV® è la soluzione naturale e non invasiva sviluppata dopo anni di ricerca: blocca l’infiammazione alla radice, ripara i tessuti cutanei e stabilizza l’equilibrio della pelle, prevenendo nuove riaccensioni.

Già nei primi giorni la pelle appare più calma e meno arrossata, e in sole 3–4 settimane, qualunque sia il livello della psoriasi, puoi ritrovare una pelle uniforme, sana e libera da rossore e dalle placche.

⚠️ Non rimandare. Ogni giorno perso è un passo verso un danno irreversibile.

IN OFFERTA 2x1 A 49,90€
INVECE DI 99,90€

11/ 100 ORDINI RIMANENTI

4,783 Recensioni Clienti

4,93/5
Valutazione 4.7 su 5

5 Stelle

4 Stelle

3 Stelle

2 Stelle

1 Stella

Marcello Ulderici
Marcello Ulderici
ACQUISTO VERIFICATO
“Soffrivo di psoriasi cronica sul cuoio capelluto: prurito, croste e vergogna ogni giorno. Con PSORISOLV® il sollievo è arrivato già dopo pochi giorni e, in un mese, la pelle era pulita. Da quasi un anno non ho più ricadute. Finalmente mi sento libero e sicuro di me.”
Ermanno De Santis
Ermanno De Santis
ACQUISTO VERIFICATO
“Le placche su gomiti e ginocchia mi tormentavano da anni. Avevo provato di tutto, ma i risultati sparivano subito. Con PSORISOLV®, in tre settimane la pelle è tornata liscia e senza prurito. Ora, dopo nove mesi, nessun segno e nessuna ricomparsa. Funziona davvero.”
Lorena Alfieri
Lorena Alfieri
ACQUISTO VERIFICATO
“Le placche sulla schiena mi davano prurito continuo, soprattutto di notte. Con PSORISOLV®, già dopo una settimana ho dormito senza bruciore. Dopo un mese la pelle era pulita e uniforme. Ora, dopo quasi un anno, nessuna traccia. È la prima volta che un prodotto funziona davvero.”

💧 COME APPLICARE PSORISOLV®

📆 Segui il trattamento per 30 giorni consecutivi per ottenere risultati completi e una pelle visibilmente più sana.

🕐 Successivamente, applica una volta al giorno per altri 10 giorni per stabilizzare i risultati e prevenire nuove riaccensioni.

🌿 Già dalle prime applicazioni sentirai sollievo: la pelle diventa più calma, morbida e uniforme, e in poche settimane ritrova il suo equilibrio naturale.

Approvato dal

MOVASOLV® è un prodotto certificato dal Ministero della Salute.

11/ 100 ORDINI RIMANENTI

IN OFFERTA 2x1 A 49,90€
INVECE DI 99,90€

DOMANDE FREQUENTI

Si, per garantirti maggiore comodità e sicurezza offriamo il Pagamento alla Consegna, potrai pagare direttamente al corriere quando arriverà a casa tua!

Normalmente il corriere GLS consegna entro 2-3 giorni al massimo. 

La spedizione è totalmente gratuita

Certamente! Se ancora non hai compilato il modulo per l’ordine e sei indeciso sul da farsi, compilandolo verrai contattato telefonicamente da un nostro operatore per rispondere a tutte le tue domande prima dell’acquisto!

Nel caso avessi già compilato il modulo, ti invitiamo a contattarci su [email protected]

Si! Purchè sia entro 30 giorni dalla ricezione del prodotto.

Assolutamente si, se noti in alto a sinistra noterai il simbolo del lucchetto con https, questo garantisce che i tuoi dati sono inviati in totale sicurezza ai nostri operatori che si incaricheranno di spedire il prodotto. 

Puoi leggere per approfondire l’argomento le nostre Privacy Policy e Cookie Policy 

This site is not a part of the Facebook website or Facebook Inc. Additionally, this site is NOT endorsed by Facebook in any way. Facebook is a trademark of Facebook, Inc

Privacy Policy contattaci reso e rimborso. Termini e condizioni.